scorri per vedere le differenze
Prima e Dopo i Trattamenti
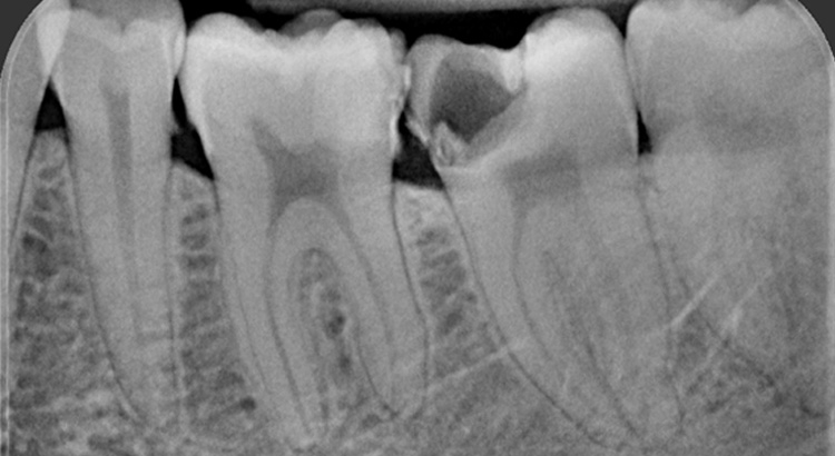
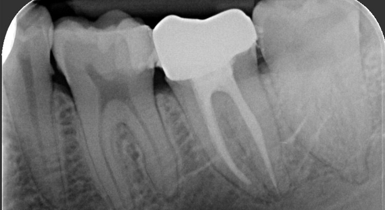
Endodonzia
Il dolore dentale è causato la maggior parte delle da una carie molto profonda che ha raggiunto o è arrivata in prossimità del nervo del dente. L’intensità del dolore può essere leggera ma costante e aumentare nel tempo, oppure può manifestarsi fin da subito con alta intesità. La disinfezione ed otturazione delle radici del dente porta al reintegro funzionale ed estetico del dente.


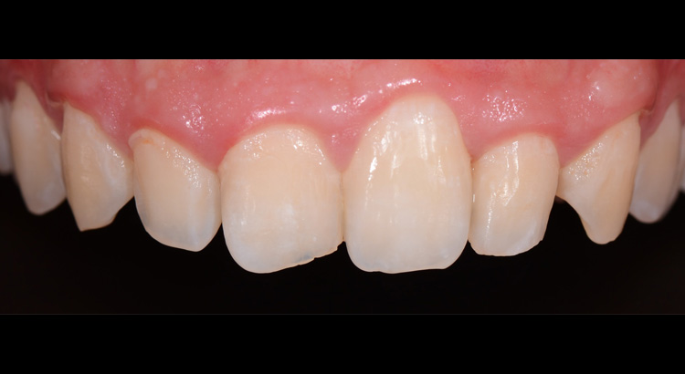
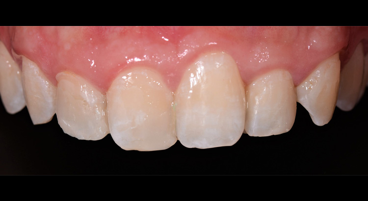
Odontoiatria Estetica
Questo giovane paziente vuole migliorare l’estetica del suo sorriso preservando però il suo dente da eventuali interventi sullo smalto. In particolare vuole cambiare la forma dell’incisivo centrale e diminuire gli spazietti neri tra gli incisivi laterali e i canini. Grazie all’utilizzo di materiali compositi ad alta esteticità è stato possibile ripristinare la corretta estetica del sorriso. Paziente contentissimo del suo nuovo sorriso.


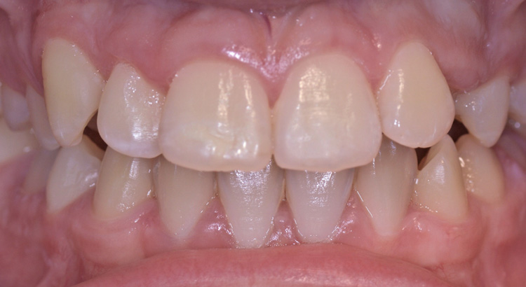
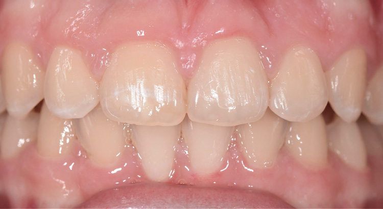
Ortodonzia
La giovane paziente adolescente necessità di ripristinare una occlusione corretta e migliorare l’estetica del suo sorriso nella maniera più efficace e duratura possibile. Data la giovane età è stato scelto un apparecchiatura ortodontica di tipo convenzionale con gli attacchi per espandere ed allineare la dentatura e dare maggiore stabilità nel tempo. Adesso sorride con il suo nuovo sorriso.


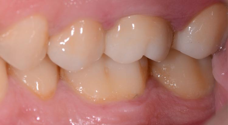
Protesi fissa su denti naturali
Il paziente presentava carie su tutti e tre gli elementi del settore posteriore, fondamentali per una corretta masticazione. La carie aveva portato ad una grave compromissione degli elementi, dolore dentale e il paziente masticava solo dall’altro lato. Grazie al trattamento endodontico e l’utilizzo delle nuove ceramiche è stato possibile ristabilire l’estetica e soprattutto la funzione masticatoria di quel lato.


Conservativa
Il paziente non sapeva di avere una carie estesa tra i due premolari. Fortunatamente non procurava dolore e si è potuto salvare il dente con una ricostruzione in materiale composito e ristabilire il corretto rapporto tra i due denti.


Protesi fissa su impianti
Il paziente nonostante la giovane età mancava da molto tempo di tre elementi dentari di un lato, da cui masticare per lui era impossibile. Tramite l’inserimento di due impianti su cui è stato cementato un ponte con tre corone.


