Endodonzia
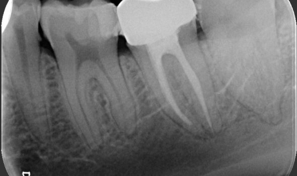
Una carie in stato avanzato può causare l’insorgenza di sintomatologia dolorosa. E’ questo il segnale del coinvolgimento della polpa dentaria dove risiedono nervi e vasi sanguigni, responsabili del dolore e attraverso il quale i batteri possono diffondere attraverso le radici e l’osso circostante. In questo caso è necessaria la devitalizzazione del dente tramite un trattamento endodontico volto a rimuovere i batteri dall’interno del dente ed otturare le radici. Questo trattamento permette di salvare il dente e poterlo protesizzare per ripristinarne la funzione.
Benefici del trattamento


